Patient Testimonials & Results

We offer life-changing dental care.

The treatments that we offer our patients at Atlas Dental Specialists can be life-changing. Whether reconstructing a worn or damaged dentition, replacing a single tooth with a dental implant, or rehabilitating an edentulous patient with a dental implant prosthesis, we at Atlas Dental are here to help you meet your dental needs.
Mary Lou Zink
Mary Lou Zink

When Mary Lou’s former dentist retired he recommend she go to Atlas Dental Specialists. “I trusted his judgement and he thought very highly of everyone at Atlas. So I scheduled...

Stephen Nesbitt
Stephen Nesbitt

Stephen moved to Pittsburgh nearly five years ago. He decided to look for a dentist in the area who could help him achieve the smile he had always wanted. A...

Hannah Nelson
Hannah Nelson

Hannah moved from Atlanta to the Pittsburgh area in late 2018 for work. Since she was new in town Hannah did not have an established dentist. She asked a co-worker...

Bianca Omi Allen
Bianca “Omi” Allen

Most people don’t enjoy going to the dentist. Some people are actually terrified of going based on bad past experiences, fear of the unknown, and even fear of pain. This...

Sophia
Sophia

Sophia had gone to the same dentist for many years. After her long-time dentist retired she went to another dentist for some cosmetic work but had a bad experience. “After...

Jody-ODonnell
Jody O’Donnell

Jody had not gone to see a dentist in a long time. His wife finally decided to schedule an appointment for him with Atlas Dental. “I was really nervous about...

Mary Alice Desiderio
Mary Alice Desiderio

Mary Alice is a Pittsburgh native and had been going to the same dentist for over 40 years. “Unfortunately, I’m one of those people that just had bad teeth since...

Karen Conklin
Karen Conklin

Karen had seen the same dentist for years, but when her previous dentist was closing his doors she needed to find a new dentist in the Pittsburgh area. “Dr. Mara...

Testimonials

Our Latest Reviews

Featured Reviews

Before & After Results

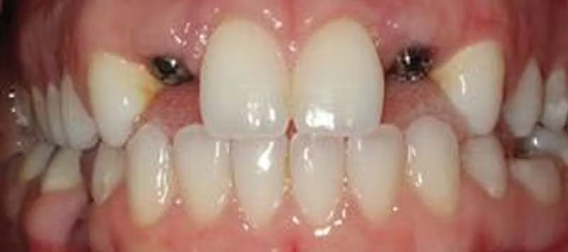
before

Before

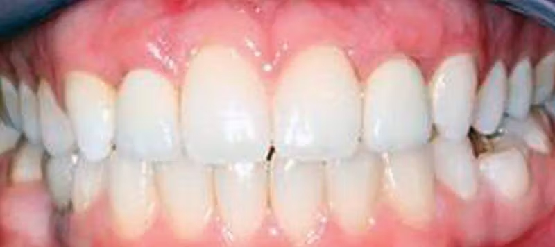
After

After

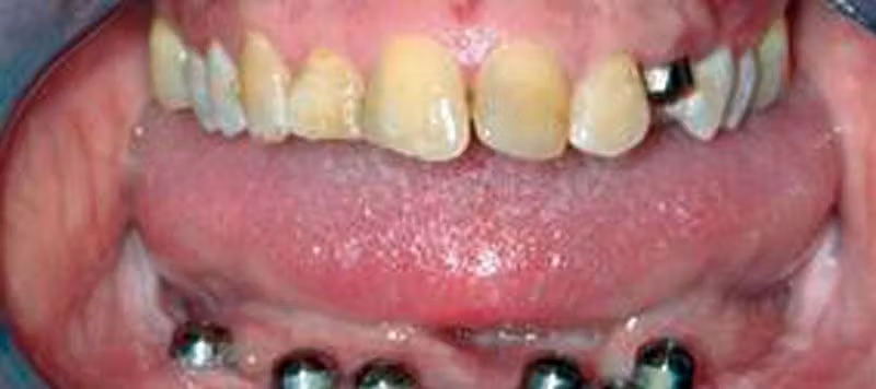
before

Before

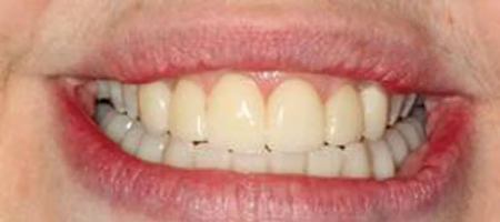
After

After

before

Before

After

After

Before

Before

After

After

before

Before

After

After

before

Before

After

After

before

Before

After

After

before

Before

After

After

Your dental health is our passion.
Let's get started!